Cabinet du Docteur Philippe MASSON
Dr Philippe MASSON Chirurgien-Dentiste
Accueil
Le cabinet
Plan d'accès
Urgences
Vidéos
Notre sélection de vidéos
Soins, hygiène et pathologies
Traitement des gencives
Prothèses dentaires
Implants dentaires
Dentisterie esthétique
Fiches Conseils
Contact
English
Questionnaire pré-RDV
Prendre RDV avec Dr Masson
25 boulevard du Temple, 75003 PARIS
+33 1 42 33 55 79
Cabinet du Docteur Philippe MASSON
Dr Philippe MASSON Chirurgien-Dentiste
Accueil
Le cabinet
Plan d'accès
Urgences
Vidéos
Notre sélection de vidéos
Soins, hygiène et pathologies
Traitement des gencives
Prothèses dentaires
Implants dentaires
Dentisterie esthétique
Fiches Conseils
Contact
English
Questionnaire pré-RDV
Prendre RDV avec Dr Masson
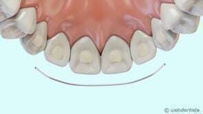
Fil de contention
Vidéos 3D
Partager
Twitter
Partager
Partager
Envoyer
Copier
Cabinet du Docteur Philippe MASSON
25 boulevard du Temple
75003
PARIS
+33 1 42 33 55 79
Conditions Générales Utilisation
Mentions légales
Politique de confidentialité et charte cookie
Charte déontologique
Ordre national
Annuaires chirurgiens dentistes
Hygiène & Asepsie
Honoraire & remboursement
Diaporama
Création par
Connexion