Cabinet du Docteur Philippe MASSON
Dr Philippe MASSON Chirurgien-Dentiste
25 boulevard du Temple, 75003 PARIS
+33 1 42 33 55 79
Cabinet du Docteur Philippe MASSON
Dr Philippe MASSON Chirurgien-Dentiste

Blog - Page 6

Comblement de sinus par voie latérale (sinus lift) avec implantation différée

Comblement de sinus par voie latérale (sinus lift) avec implantation différée

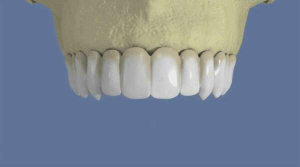
Maxillaire : bridge vissé sans fausse gencive

Maxillaire : bridge vissé sans fausse gencive

Le traitement non chirurgical de la parodontite

Le traitement non chirurgical de la parodontite

Traitement orthodontique esthétique par gouttières

Traitement orthodontique esthétique par gouttières

Le cas spécifique de la luxation de la mâchoire

Le cas spécifique de la luxation de la mâchoire

Fixation d’une prothèse par une barre sur 4 implants

Fixation d’une prothèse par une barre sur 4 implants

Affichage des articles 31-36 sur 198

Création par Webdentiste

Connexion